首页 新闻中心 医院新闻

骨科为一严重脊柱感染致休克患者实施微创手术

发布时间:2021-11-29 浏览数:8651

近日,我院骨科副主任、副主任医师杜建伟团队采用微创经皮脊柱内镜病灶清除、置双腔管灌洗引流技术,成功救治一名严重脊柱感染致休克的老年患者。目前患者恢复良好,已正常下地活动,生活完全自理。其家属向骨科医护人员送来3面锦旗,真诚感谢他们的精湛技术和辛勤付出。

10月上旬,深秋扬州,天气渐凉,但比起天气,患者吴阿姨一家的心境更凉!因多年左膝关节炎的困扰,吴阿姨在当地医院做了左膝关节置换手术。术后康复期间,患者的腰部出现反复剧烈疼痛,无法下地走路,随着病情的进一步加剧,更是出现了寒战高热,甚至一度意识障碍,患者的儿女赶紧将其送至我院急诊科。在急诊科经过相关检查检验后,患者被诊断为腰椎感染合并休克、菌血症,经过医生的不懈努力,患者的休克症状得到初步改善,但如果腰椎感染得不到控制,休克可能随时再来。

接到急诊科的急会诊请求后,杜建伟团队积极响应,初步评估了患者的状态,将其转入骨科病房。针对患者的具体情况,杜建伟制定了“活下去”和“站起来”两步走的治疗计划。

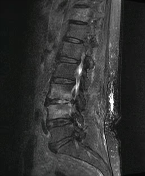
第一步,“活下去”,把感染彻底控制住。在仔细研究患者的影像学资料并得到手术室的配合后,杜建伟团队决定立即为患者实施微创脊柱内镜技术,清除腰椎感染病灶,并将双腔管置入感染的腰椎间隙内,细管给予敏感抗生素,粗管引流,成功做到感染病灶精准靶向给药,同时配合静脉滴注敏感抗生素,全身与局部协同治疗。术后第二天,患者的腰痛症状就明显缓解,血液炎症指标也有明显下降,并随着时间推移,指标逐步恢复正常。

第二步,“站起来”,让患者下床活动,生活自理。由于腰椎感染所致的腰部疼痛,使患者自膝关节置换手术后就一直卧床不起,甚至错过了膝关节置换手术的康复锻炼,导致膝关节活动障碍。杜建伟团队和骨科护士长桂冬梅团队积极制定康复方案,术后三天,患者就可在家属搀扶帮助下下床活动,随着康复方案的进一步执行,其膝关节活动越来越松快,走路也越来越平稳,出院时,患者已经不需要他人搀扶,而能够自己行走!

杜建伟介绍,由于人口老龄化、患者合并疾病增多、侵入性治疗及外科手术的增加等原因,腰椎感染的发病率逐年提升,中老年患者比例逐步增加。近年来,脊柱内镜微创手术不断发展,目前已成熟应用于治疗腰椎间盘突出症、腰椎管狭窄症等腰椎退行性疾病,并取得满意的疗效。对于腰椎感染,同样适用。如此病例中的手术,是在局麻下进行的,减少了全身麻醉的风险。手术中,只要在腰部开一个1厘米长的切口,不破坏腰背肌,内镜可直达椎间隙,顺利清除病灶,置入的双腔管可同时进行灌洗与引流,精准靶向给药,疗效迅速且确切,非常适用于体弱多病、合并症较多的老年患者。

我院骨科脊柱团队师从国内脊柱微创领域开拓者和领军者、中国人民解放军总医院(301医院)脊柱外科主任医师张西峰教授,拥有丰富的脊柱内镜经验,可微创治疗腰椎间盘突出症、腰椎管狭窄症、颈椎病、腰椎骨折等,均取得满意的疗效!

“这两个月来,我妈妈从躺着出家门,到现在自己走回家去,真心感谢扬大附院骨科杜建伟主任脊柱团队的精湛技术和辛勤付出,现在已进入寒冬,但是我们的心里却是暖洋洋的。”患者的儿子动情地说到。



就医服务

公众服务

公众服务

员工服务

员工服务

返回顶部

  • 文章
  • 科室
  • 医生