首页 新闻中心 医院新闻

我院多学科联合救治1例巨大肾肿瘤破裂出血危重患者

发布时间:2022-04-28 浏览数:8167

近日,我院泌尿外科联合重症医学科、麻醉科、手术室、影像科、输血科等学科,联合诊疗成功救治1例巨大肾肿瘤破裂出血危重患者,手术顺利,目前患者术后恢复良好。

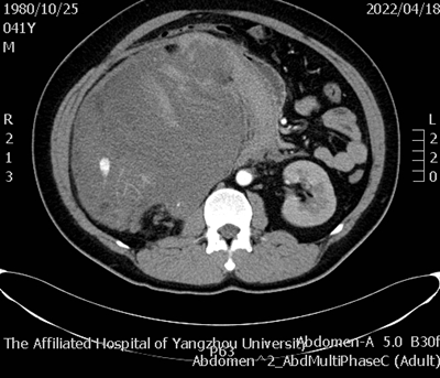
据悉,患者因“下腹部胀痛2天加重6小时”于西区医院外科急诊就医,经全腹部CT检查提示:右侧腹膜后巨大占位并破裂、出血,不除外肾脏或肾肿瘤破裂。据此情况,外科急诊遂收治泌尿外科进行救治。

入院检查后发现,该患者存在合并肾功能不全、糖尿病、高血压等情况,于是予以输血、纠正低蛋白血症等对症处置措施,但之后病情仍无好转,且有加重趋势,患者随时会因为肾破裂出血导致生命消逝。

在泌尿外科副主任祁乐中的组织下,主任医师王小祥、主治医师申余勇诊疗团队联合普外科、影像科、输血科、介入科、ICU、肿瘤科、肾脏内科、内分泌科、心血管内科、麻醉科、手术室、病理科等科室进行了病例讨论(MDT),建议尽快先实行肾动脉造影并右肾动脉栓塞介入治疗,之后再进行手术治疗。

4月22日晚间,在麻醉科和手术室的紧密协助下,诊疗团队对患者进行了右肾肿瘤根治性切除术+腹膜后血肿清除术,由于术前合并症多,导致手术难度较大、术中出血多,但在医生娴熟的技术下,手术顺利完成。术后经重症医学科精心治疗,患者已顺利脱机,无十二指肠及周围脏器损伤,目前恢复良好。

据了解,肾实质性肿瘤大多为恶性肿瘤,在我国其发病率仅次于膀胱癌位居第二位,随着我国卫生医疗事业的进步和民众健康体检意识的提高,既往典型的“血尿、疼痛、腹部肿块”肾癌三联征在现在的临床工作中已比较少见。

王小祥表示,该患者右肾肿瘤的直径长达30cm实属罕见,对我院临床决策和手术技术提出了更高的要求和挑战。本次在我院多学科密切协助下患者得以术后快速康复,既是我院整体强大的急危重症处置能力的体现,也为我们今后处理类似病例提供了宝贵的经验。


术前腹部增强CT_副本.png


术后腹部CT平扫_副本.png


图片1_副本.png

就医服务

公众服务

公众服务

员工服务

员工服务

返回顶部

  • 文章
  • 科室
  • 医生